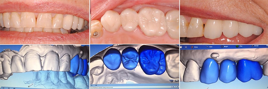
Same-Day Cosmetic Crowns
Get your crowns made in one hour or less while you wait!

At Modern Dental Smiles, we can transform your smile in a single visit with our use of modern technology. Dr. Bally can prepare your tooth for a crown, take a digital impression, and create your all-porcelain ceramic crown right here in our on-site lab. With same-day crowns, there is no need to take multiple days off work, wear a temporary crown, or come to our office for multiple visits.
Same-Day Three Unit Bridge
Get your three unit brige made in about an hour while you wait!

Though implants are the ideal option to replace missing teeth, there are many clinical reasons to restore a missing tooth with a bridge. A bridge is a fixed replacement tooth or teeth that fills the space where one or more teeth are missing.
Typically, this can take up to two visits but with our modern techniques and materials we can provide this service for you in just one visit! Visit Modern Dental Smiles for your superior treatment.
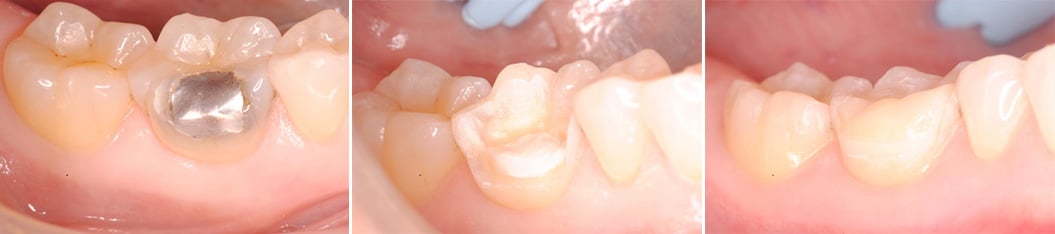
Same-Day Porcelain Inlay
Get your porcelain inlays in one hour or less while you wait!

With inlays, we can stay conservative and restore your tooth without having to sacrifice any healthy tooth structure. We offer same-day porcelain inlays fabricated in our in-house laboratory, which also allows us the ability to provide custom staining and color matching.
Same-Day Premolar Implants
Get your premolar implants made in one hour or less while you wait!

Implant Crown Planned and Restored Digitally: This premolar implant was planned and restored digitally and made at our in-house laboratory! This patient did not have to go through any uncomfortable impressions, no models, no problem! The patient was overjoyed!
This is just one of the things we can do at Modern Dental Smiles to get superior, efficient, and more comfortable results for our patients! Visit Modern Dental Smiles for your superior treatment.
Same-Day Anterior Implants
Get your implants made in one hour or less while you wait!

This anterior implant was planned and restored digitally! This allowed us not only to make the process more comfortable for our patients, but it also enabled us to be efficient and precise! Visit Modern Dental Smiles for your superior treatment.
Guided Implant Surgery

In this video, we give you a glimpse of dental implant diagnosing and digital planning! This greatly increases long-term success when we use modern technology such as CT scanning, digital planning, surgical guide fabrication, and screw-retained restorations to get a predictable, safe, and superior result. Visit Modern Dental Smiles for your superior treatment.
Full Arch Implant Surgery

Full Upper Implant Rehabilitation: In cases where the dentition may not be salvageable and all the teeth need to be removed, an implant rehabilitation can be performed. In this case, all the teeth were removed, six implants placed, and a 3D printed restoration was fabricated while the implants healed.
With this highly advanced technique, you can have your teeth removed, implants placed, and your new teeth anchored to your implants all in the same day. A truly transformative result is now predictable with the use of technology such as CT scans, 3D printing and digital smile design.
If you need to have your teeth replaced with implants, rest assured that we have the ability to predictably and aesthetically help you achieve the smile you desire.
